비임상 전문 CRO 서비스
폐 질환 (IPF)
구브라의 BLEO-IPF 및 HFD-BLEO-IPF 마우스 모델이 제공하는 폐 기능에 대한 임상 지표 및 조직학적 결과를 이용하여 약물 개발 기간을 단축할 수 있습니다. 구브라의 마우스 모델은 임상 시험에 연관된 지표를 이용하여 질병 모델 및 약물 작용 기전에 대한 이해를 보장합니다.
Why Gubra?
-
특발성 폐 섬유증(IPF) 에 대해 심층적으로 검증된 마우스 모델
-
폐활량 측정 기반 폐 기능 확인
-
체적 측정법(Plethysmography) 기반 질병 분류
-
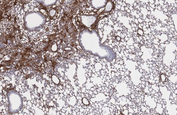
자동화된 AI 기반 조직학적 결과 평가
-
임상 시험 결과를 통한 화합물 특성분석
-
맞춤형 연구 설계 및 신속한 연구 진행 (자체 시설 및 동물 모델 구비)


검증된 IPF 모델과
AI 기반 조직학적 분석 시스템
구브라는 폐활량 및 체적 측정법(Plethysmography)으로 검증된 블레오마이신 유도 IPF 마우스 모델을 제공합니다. 폐 질환 연구에 최적화된 모델과 고객 맞춤형 연구 디자인을 통해 폐 섬유증 대상 약물의 효능을 평가하기 위한 치료적 개입을 실현합니다.
주요 서비스
폐활량 측정 및 체적 측정 기반
폐 기능 검사
혈장, 폐 및 기관지, 폐포 세척액(BALF) 기반 생화학적 평가
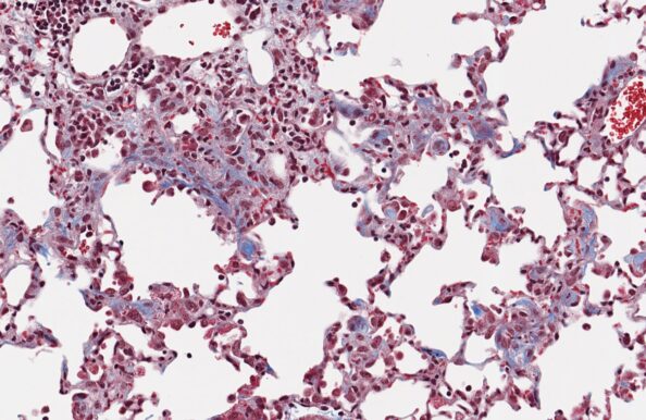
조직병리학적
Ashcroft 점수화
염증 및 섬유증의
정량적 조직학 검사
폐 전사체 프로파일링
폐 질환 연구에 최적화된 블레오마이신 모델
자가면역성 폐섬유증(IPF) 모델

HFD-BLEO-IPF mouse
-
고지방 사료가 공급된 성숙한 C57BL/6J 마우스
-
블레오마이신 단일 투여 유도
-
블레오마이신 투여 후 4 주간의 연구 기간
-
체적 측정법(Plethysmography) 및 폐활량 측정으로 폐 기능 이상 여부 검증
-
AI 기반의 Ashcroft 병리학적 점수화
-
폐 조직 및 전사체의 양적 분석
-
TGFbeta/ALK5 억제제를 사용하여 검증

BLEO-IPF mouse
- 표준 사료가 공급된 성숙 및 노화된 C57BL/6J 마우스
- 블레오마이신 단일 투여 유도
- 블레오마이신 투여 후 4 주간의 연구 기간
- 체적 측정법 (Plethysmography) 및 폐활량 측정으로 폐 기능 이상 여부 검증
- AI 기반의 Ashcroft 병리학적 점수화
- 폐 조직 및 전사체의 양적 분석
- TGFbeta/ALK5 억제제를 사용하여 검증

Chronic BLEO-IPF mouse
- 표준 사료가 공급된 성숙한 C57BL/6J 마우스
- 6주간의 반복적인 블레오마이신 유도
- 6-12 주간의 치료적 개입
- 체적 측정법 (Plethysmography) 및 폐활량 측정으로 폐 기능 이상 여부 검증
- AI 기반의 Ashcroft 병리학적 점수화
- 폐 조직 및 전사체의 양적 분석
연관된 페이지
전문가와 무료로 상담하세요
문의하기
Gubra
유럽 본사:
Hørsholm Kongevej 11B
2970 Hørsholm, Denmark
한국어 상담:
+45 2973 1258





