비임상 전문 CRO 서비스
장 질환 (IBD)
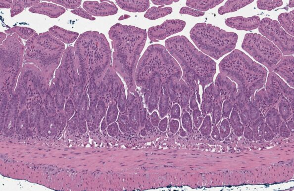
구브라는 염증성 장 질환 (IBD)과 장 섬유증 연구를 위한 비임상 모델로 업계를 선도하고 있습니다. 구브라의 만성 덱스트란 황산나트륨 (DSS) 모델을 이용해 IBD 대상 약물의 소염 및 항섬유증의 효능을 테스트하세요.
Why Gubra?
-
염증성 장질환 (IBD)에 대한 전문 과학 지식
-
최신식 IBD-섬유증 모델
-
AI 기반의 조직학적 분석
-
맞춤형 연구 설계 및 신속한 연구 진행 (자체 시설 및 동물 모델 구비)


주요 임상 지표와 AI를 활용한
전문적인 CRO 서비스
구브라는 염증성 장질환(IBD)의 예방 및 치료적 개입 연구를 위한 최첨단 DSS 마우스 모델을 제공합니다. 또한 고급 인공지능 기반 조직학적 기술을 사용하여 약물의 치료 효과를 분석해드립니다. 구브라의 새로운 만성 DSS-IBD 마우스 모델과 대장 섬유증 모델을 지금 확인해보세요.
주요 서비스
대장 및 혈장 시료
생화학적 평가
대장의 입체학적 정량화
염증 및 섬유증의
조직학적 점수화
염증 및 섬유증의
정량적 조직학 분석
대장 전사체 프로파일링
임상 지표를 적용한 비임상 연구 모델
염증성 장 질환 (IBD) 모델

Acute DSS-IBD mouse
-
급성 DSS-IBD 마우스 모델
-
표준 사료를 공급한 C57BL/6J 마우스
-
급성 궤양성/염증성 대장염의 표준 모델
-
대장 특이적 점막 표피 손상의 급성 발현
-
즉시 연구 시작 가능
-
입체학적 기반 조직병리학적 분석
-
고급 전사체 프로파일링
-
예방적 치료

Chronic DSS-IBD mouse
-
만성 DSS-IBD 마우스 모델
-
표준 사료를 공급한 C57BL/6J 마우스
-
장기적이고 주기적인 DSS 투여
-
섬유증을 동반한 만성 IBD의 최첨단 모델
-
입체학적 기반 조직병리학적 분석
-
고급 전사체 프로파일링
-
치료적 개입
연관 페이지
전문가와 무료로 상담하세요
문의하기
Gubra
유럽 본사:
Hørsholm Kongevej 11B
2970 Hørsholm, Denmark
한국어 상담:
+45 2973 1258




